BELAVI

это качество!

Ваша улыбка

наша главная награда!

Наша клиника предоставляет
весь спектр услуг:

Наша команда применяет в работе профессиональное увеличение: микроскопы и индивидуальные бинокуляры. Мы предлагаем вам: развернутая консультация всей полости рта с применением фотопротокола и КЛКТ (трехмерного исследования зубов), профессиональная гигиена полости рта и отбеливание зубов, лечение кариеса, художественные реставрации зубов, лечение каналов, реконструкция улыбки винирами и коронками, установка имлпантатов (одиночное, тотальная работа "Все на 6")

Услуги

СОВРЕМЕННОЕ ПРОФЕССИЛЬНАЛЬНОЕ
ОБОРУДОВАНИЕ

Стоматологические установки SIRONA, микроскопы Leica и GJ Optik, рентгены в каждом кабинете обеспечивают высокий уровень качества лечения, контроль всех манипуляций и комфорт во время процесса работы

МЕДИА КОНСУЛЬТАЦИИ

В нашей клинике пациентам проводят фотопротокол, где изображение выводится на большие мониторы телевизоров, наглядно показывая проблемы в полости рта.

Наша команда - это первоклассные специалисты

Которые постоянно совершенствуются,
повышая свою квалификацию

Абовян Ашот Артаваздович

Стоматолог-ортопед

Подробнее

Чистякова Анастасия Александровна

Стоматолог- терапевт, стоматолог - эндодонтист,детский стоматолог

Подробнее

Багавутдинов Абсалютдин Серажутдинович

Ортопед, хирург, эксперт по эстетической стоматологии

Подробнее

Кабатаев Ислам Русланович

Врач стоматолог-Терапевт, ортопед, хирург

Подробнее

Темишев Казбек Сайдуллаевич

Врач стоматолог - терапевт, эндодонтист

Подробнее

Глотова Ангелина Вадимовна

Врач - ортодонт

Подробнее

Найманов Рустам Султанбиевич

Стоматолог-терапевт, стоматолог-эндодонтист

Подробнее

Отзывы наших клиентов

​Зиля Гурова

24 января 2023

Примите нашу благодарность за качественное лечение и накрытие коронками .Все очень качественно и быстро. Ни в одной клинике не взялись, чтоб за день поставить все коронки, а все сделали в кратчайшие сроки, повторно сделали снимки, чтоб посмотреть все ли хорошо. Буду рекомендовать всем, цены приемлемы, спасибо всем докторам за профессионализм!!!

Галина Билокур

19 ноября 2022

В этом месте прекрасно все. Помещение светлое и уютное. Все кого я встретила были улыбчивыми и доброжелательными людьми. Полностью довольна профессионализмом и подходом. Буду, по возможности, приводить все зубы в порядок. И только здесь

Виктория Головягина

16 октября 2022

Очень нравится эта клиника! Делала здесь чистку зубов, резекцию, а также поставила 4 пломбы.Хочется выразить огромную благодарность докторам Абсалютдину и Мусе - профессионалам своего дела. Работу выполняют качественно, добросовестно, аккуратно, на высшем уровне, всегда шутят, чтобы разрядить обстановку. Никакой вопрос,касающийся лечения, не оставят без внимания, объяснят все на доступном языке. В клинике все оборудование современное, обстановка - комфортная, очень чисто и уютно, персонал вежливый. Еще хочется выразить благодарность за поддержку медсестре Валерии и за тёплое отношение администратору Наташе. Всегда встречает с улыбкой, интересуется, как дела, все ли прошло хорошо. 🌸 Эту клинику однозначно - рекомендую. 👍🏽

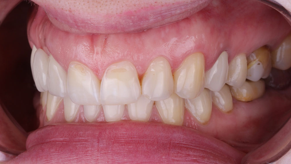
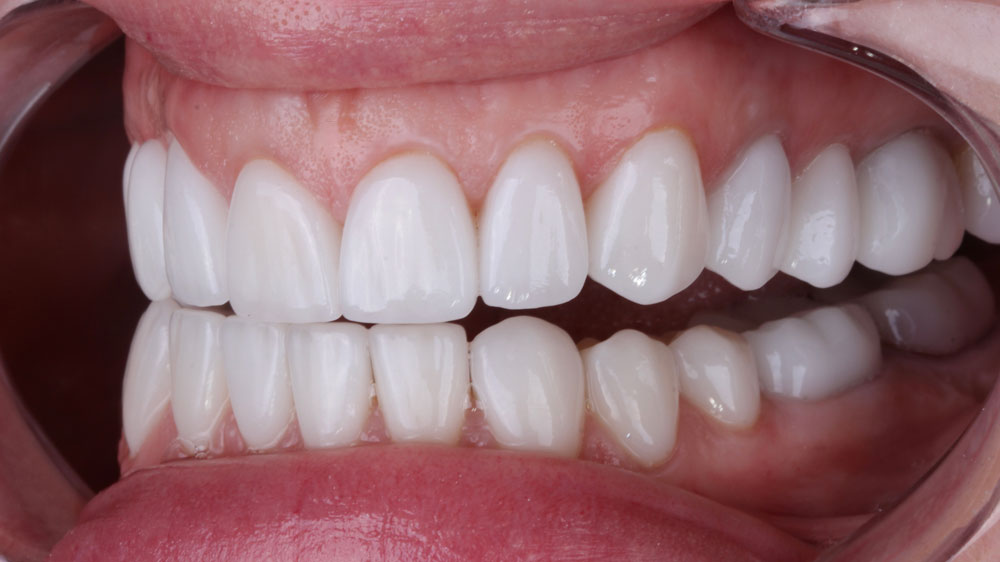
Наши работы

до

после

до

после

до

после

до

после

до

после

до

после

до

после

Подробнее